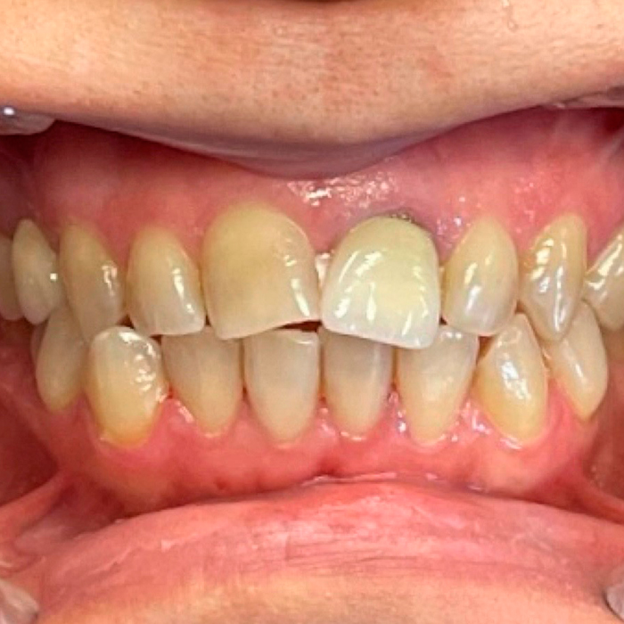
A healthy, confident smile starts with proper oral hygiene and regular dental cleaning is one of the most effective ways to keep your teeth and gums in excellent condition. At Brentwood Dental Care in Bay Shore, NY, our skilled dental team provides professional dental cleanings designed to remove plaque, tartar, and surface stains that regular brushing and flossing can’t reach.
Whether it’s your first visit or part of your ongoing dental routine, our goal is to make your cleaning experience comfortable, thorough, and tailored to your individual needs.
We make it easy for you and your family to maintain beautiful, healthy smiles in a welcoming setting.
A dental cleaning (also known as prophylaxis) is a preventive dental procedure that removes plaque, tartar (hardened plaque), and bacteria buildup from your teeth and gumline. Even with excellent at-home oral care, it’s impossible to remove all plaque with brushing and flossing alone. Over time, plaque hardens into tartar, which can only be removed by a dental professional.
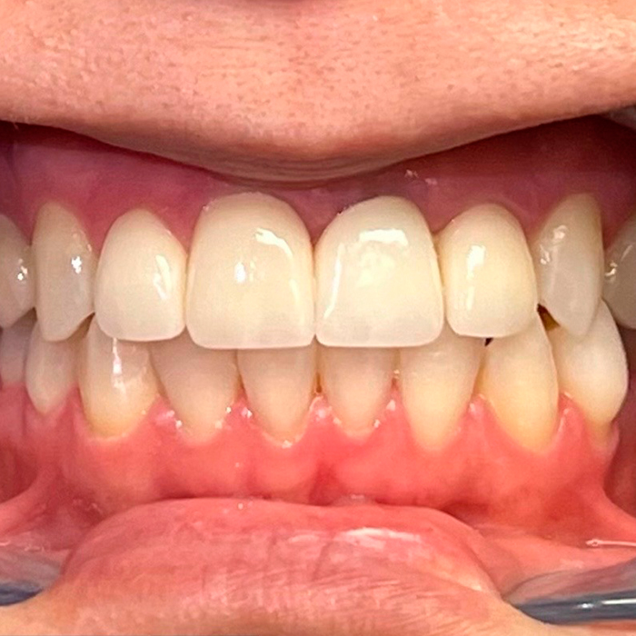
At Brentwood Dental Care, our hygienists use advanced cleaning techniques and gentle tools to ensure your teeth and gums are meticulously cleaned promoting better oral health and preventing serious dental problems down the road.
Routine dental cleanings play a vital role in preventing tooth decay, gum disease, and bad breath. The benefits of scheduling a professional cleaning every six months include:
By keeping up with routine dental cleanings at Brentwood Dental Care, you’re investing in both your oral health and your long-term well-being.
Our friendly and professional team in Bay Shore, NY ensures that every dental cleaning is a comfortable and stress-free experience. A typical cleaning appointment includes:
We use state-of-the-art equipment and modern dental technology to ensure every patient receives the highest standard of care. Our gentle approach is especially beneficial for patients with sensitive gums or dental anxiety.
The American Dental Association (ADA) recommends scheduling a professional dental cleaning at least twice a year. However, patients with a history of gum disease, excessive plaque buildup, or certain medical conditions may benefit from more frequent cleanings.
At Brentwood Dental Care, we create personalized cleaning schedules based on your unique dental needs and oral health goals.
When it comes to dental cleaning in Suffolk County, Brentwood Dental Care stands out for our compassionate service, advanced technology, and dedication to patient comfort. We believe that preventive dentistry is the foundation of lifelong oral health and dental cleanings are a key part of that foundation.
Here’s why patients throughout Bay Shore, Brentwood, and Suffolk County trust our office:
We make it easy for you and your family to maintain beautiful, healthy smiles in a welcoming setting.


Book a visit to Brentwood Dental Care, simply fill out the form below and we will contact you back regarding the intervention you require.


Don’t wait until you feel discomfort to visit the dentist prevention is always better than treatment. Regular dental cleanings at Brentwood Dental Care help you maintain fresh breath, strong teeth, and healthy gums all year long.
Call today to schedule your dental cleaning appointment and experience the Brentwood Dental Care difference where your comfort and oral health come first.
Located conveniently in Bay Shore, NY, Brentwood Dental Care proudly serves patients throughout Suffolk County with comprehensive, compassionate dental services. Our team combines advanced clinical skills with a patient-first approach, creating a comfortable experience for every visitor.